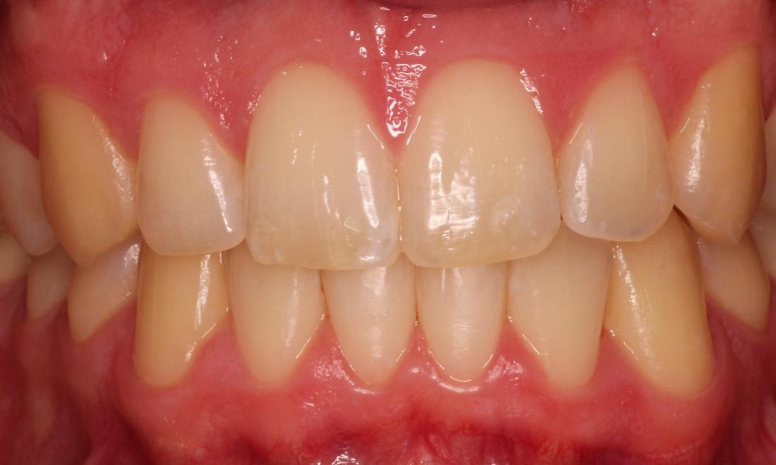
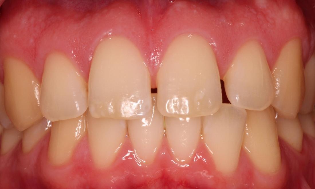
This patient did not like the spacing between his upper teeth. In a short period of time, clear aligners were used to close the spaces and align the anterior teeth.
If you have difficulty using our website, please email us
or call us at (317) 898-9231
Privacy Policy
View the ADA Accessibility Statement



