Complete and Partial Dentures in Cumberland IN
If missing teeth or older dentures cause discomfort and embarrassment, you know that these problems can severely compromise your lifestyle. Even simple actions like eating and speaking normally can be a challenge.
Dentures are meant to be a solution, not a problem, and we can eliminate these annoying issues with updated dentures that feel comfortable, restore function, and improve your appearance.
Our team can help. We believe that you don’t need to sacrifice your comfort and appearance just to have replacement teeth that are long-lasting and functional. Your dentures are designed to last for a long time, and we want you to be thrilled with the results.
State-of-the-Art Technology and Training
Do you think of dentures and picture unnatural, fake-looking artificial teeth? You may be surprised by the natural appearance and fit of modern dentures. At German Church Road Family Dentistry, our goal is to provide you with personalized care using state-of-the-art dental treatments.
Dr. Uhl is committed to mastering the latest dental technologies and techniques to provide you with the best dentistry available. With the precision and patience needed for the denture development process, we use updated materials and methods to create comfortable dentures that look just like natural teeth.
Types of Dentures
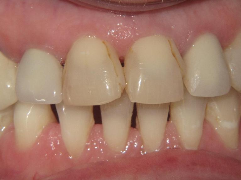
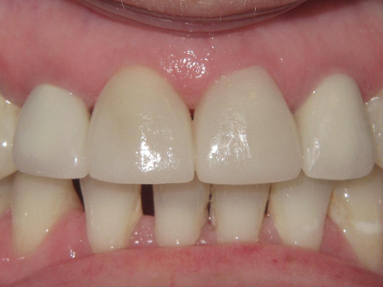
Dentures are dental appliances that replace missing teeth. Depending on your needs, we can create either partial or complete dentures. Partials are used if only a few of your teeth are missing. If all your teeth are missing, we use complete dentures.
Another option is flexible partial dentures that are designed to adjust to the contours of your mouth. They are durable, stain resistant, and comfortable. Our flexible partials contain no unsightly metal or wire clasps. Along with the complementary hue of the denture, your appliances will blend beautifully with surrounding gums and teeth.
Modern Dentures Make the Difference
Dentures made years ago were designed for function and had a one-size-fits-all appearance. Today’s dentures are individually crafted by trained technicians using materials that look, fit, and feel more natural. Before work begins on your new dentures, we take the time to understand your expectations so that we can deliver results that meet your expectations.
Added Stability for Dentures
A common complaint among denture wearers is the shifting and slipping that causes embarrassment and irritation. We can put an end to this problem by using implant-retained dentures that offer a more stable, secure fit. Dental implants snap on to the dentures, providing stability while eating, talking, and chewing.
Convenient, Personalized Dental Care
Our priority is to offer high-quality dental treatments that enhance your overall health and well-being. We value the importance of building long-lasting relationships, and we treat you exactly the way we would want to be treated. By taking the time to listen to your concerns, we can better understand your needs and help you achieve your goal of a beautiful, healthy smile.
Please contact our Indianapolis dental office so that we can arrange a convenient consultation to answer your questions about dentures and our other tooth replacement solutions.
Frequently Asked Questions
The cost of treatments and insurance coverage are a key concern for everyone when making decisions about their dental care. The world of insurance can be complex and frustrating, and we are here to make it easier for you. We recommend you always get in touch with your insurance provider to make sure your plan is in-network. Second, we recommend you get in touch with our team to make sure we are in-network with you. We are happy to help however we can!
Plans We Accept
We are in-network with the following insurance plans, but we will be happy to file your claims for any out-of-network plans. Please give us a call with any questions prior to your service or procedure.
- Anthem 300
- Delta Premier
- Delta Tricare
- United Concordia
If you have questions about your specific plan, don't hesitate to contact our office for more information.
We offer several options for replacing missing teeth, depending on your specific needs. Whatever your situation, at German Church Road Family Dentistry we have the solution that will fit your needs perfectly.
Our Tooth Replacement Options
- Dental implants are the premier tooth replacement option because they do a lot more than just fill the empty space. They are designed to act as a stand-alone tooth replacement and actually replace the missing root. This makes dental implants an attractive, durable, healthy choice.
- Fixed bridges are another type of dental restoration that solves the aesthetic problem of a missing tooth while restoring function and allowing you to eat and speak properly.
- Dentures and partials are removable replacement teeth and can be used if several or all of your teeth are missing. Today’s dentures are nothing like the older versions – they are far more comfortable and can be made to look completely natural.
Tooth Replacement in Cumberland, IN
The method we recommend will depend on your oral health needs, your budget, and even your lifestyle. If you have missing teeth and would like to explore your options, please call our Indianapolis dental office. A helpful member of our team will be happy to assist you in arranging a complimentary consultation.
Meet Our Doctor:
Dr. Dane Uhl DMD
Owner
Dr. Dane Uhl grew up and currently lives in New Palestine, Indiana. He completed his Bachelors of Science degree in Biology at Ball State University, where he graduated magna cum laude in 2006. He then attended Case Western Reserve School of Dental Medicine where he earned his Doctorate of Dental Medicine in 2010.
Following dental school, Dr. Uhl was accepted into a highly competitive post-graduate program at the Indianapolis Veteran’s Hospital. As a dental resident, Dr. Uhl received advanced training and experience in a wide scope of dental procedures, including working ...



