Crowns & Bridges in Indianapolis IN
Creating dental restorations like crowns and bridges is one of the most important services provided at our Indianapolis dental office. There are a number of cases where a restoration may be needed, but the bottom line is that both crowns and bridges improve your oral health as well as your appearance.
Our goal is to provide you with high-quality dental care that is individualized for your specific needs. Everyone is different, and Dr. Uhl and our team will work with you until we find the type of restoration that is perfect for you.
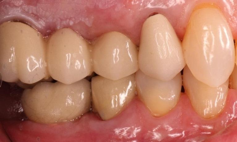
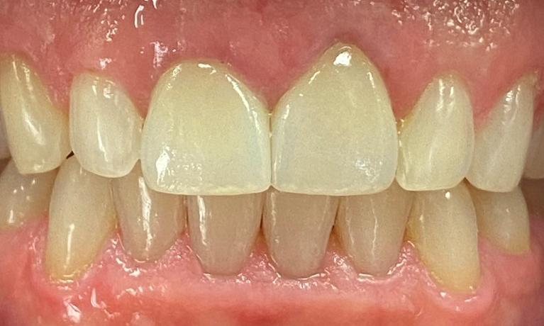
Porcelain Dental Crowns
A crown is a dental restoration that cups over your entire tooth. This makes crowns perfect for use in a number of situations:
- Strengthening a tooth after root canal treatment
- Preserving teeth with large fillings
- Supporting fractured teeth that cannot be repaired with traditional composite bonding
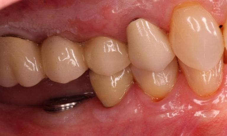
Crowns are also attached to dental implants to form the functional, visible part of a dental implant.
Since crowns basically form a new tooth surface, they can also be used to correct a number of cosmetic problems:
- Reshape uneven teeth
- Fill gaps and spaces between teeth
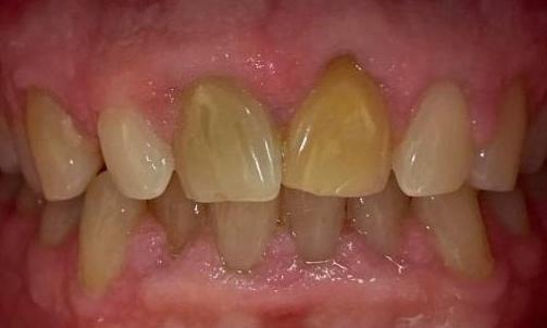
- Mask badly stained that can’t be whitened
- Cover old, discolored fillings
We offer crowns that are made of porcelain fused to metal for the ultimate in strength in protection. All-porcelain crowns are another option that can be used in situations where aesthetics are an issue.
Dental Bridges
Missing teeth can be annoying and embarrassing, but you do have options that can correct the cosmetic problem and restore function. Dental bridges are made up of an artificial tooth and dental crowns that attach to teeth on either side of the empty space. Dr. Uhl may also recommend that the bridge is retained by a dental implant for extra support and stability.
If you don’t replace missing teeth as soon as possible, a gap in your smile may not be your only problem. You may notice that you have trouble chewing and even speaking properly, which can impact your lifestyle and make you feel self-conscious.
And, since your teeth are not actually attached to a bone, they gradually change position and eventually move into space left by the missing tooth. This movement can lead to misalignment of surrounding teeth, which in turn leads to a number of other problems
A dental bridge can easily restore function by allowing you to chew and speak with ease. Since the bridge fills the empty space, it also prevents other teeth drifting and creating alignment problems.
Personalized, Comfortable Care
At German Church Road Family Dentistry, our focus is on providing you with the services you need to achieve perfect oral health. We believe that communication is the key to meeting and exceeding your expectations, whatever dental treatment you receive.
Please contact our Indianapolis office for more information about crowns, bridges, and other dental restorations.



